How to battle the nuisance of sensitive teeth is to know what causes sensitive teeth, and irritants in the first place. For instance, your teeth may hurt from cold or hot drinks, sweet and sour foods, or even cold air. Therefore, how to battle the nuisance of sensitive teeth requires that you identify the likely causes.
Causes of sensitive teeth

Several causes can trigger sensitive teeth as listed below:
Eroded enamel

Your enamel is the hard, protective layer that helps your teeth handle whatever you put them through. But when the enamel erodes, this uncovers the nerve endings that cause pain.
Naturally shrinking gums

If you’re over 40, it could be that your gums are showing signs of wear and tear by pulling away from your teeth and uncovering your tooth roots. Those roots don’t have enamel to protect them, so they’re much more sensitive than the rest of your tooth.
Tell your dentist if your gums look like they’re receding. It can be a sign of other problems, like gum disease. Serious cases may need a gum graft. That moves tissue from somewhere else to cover the bare area.
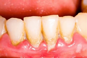
Gum disease

Plaque and tartar buildup on your teeth can make your gums pull back. Sometimes, disease can set in. It can destroy the bony support of your tooth. Don’t smoke. It can lead to gum disease. To treat it, your dentist may do a deep clean of your teeth, called scaling, that scrapes tartar and plaque below the gum line. You could also need medication or surgery to fix the problem.
Cracked tooth or filling

The crack can go down to your root if you break a tooth. You’ll notice pain when your tooth is cold. How your dentist fixes the crack depends on how deep it goes. If it’s a small crack that ends before your gums start, your dentist can fill it. But your tooth must be pulled out if it’s below your gum line.
Immediate solutions

So to prevent or stop the damage caused by eroded root enamel, shrinking gums, gum disease, and cracked tooth or filling, try the solutions offered below:
Brush gently, not too hard

If you clean your teeth too vigorously, you may take off more than the dirt and plaque. For instance, side-to-side brushing at the gum line can erode your enamel faster. So, instead, use a soft-bristled brush and work at a 45-degree angle to your gum to keep your enamel, not only clean but also strong.
Shun acidic foods and drinks

Soda, sticky candy, and high-sugar carbs are treats that attack the enamel. As an alternative, snack on:
- Fiber-rich fruits and vegetables
- Cheese
- Milk
- Plain yogurt
- Green or black tea
- Sugarless gum
These healthy foods will moisten your mouth and help fight acid and bacteria that can eat away at your enamel. This is because saliva is one way your mouth deals with them.
But if you ate something acidic, wait an hour or so to strengthen your enamel before you scrub. Don’t rush to brush.
Stop teeth grinding

Over time, teeth grinding wears your enamel. Therefore, the solution could be to address your stress and stop the problem. However, if that doesn’t work, your dentist can fit you for a splint or a mouth guard.
If the problem is severe, you may need dental work to change your teeth’s position or a muscle relaxant.
Discontinue teeth bleaching

The desire for sparkling white teeth may irritate your teeth. But the good news is that sensitivity from bleaching is usually short-term. So talk to your dentist about how the treatment might affect you and whether you should continue it.
10 Oral problems and solutions
Further dental treatment

Besides, once you’ve found the problem, there are things your dentist can use to help ease your sensitivity, including:
- Fillings that cover exposed roots
- Toothpaste for sensitive teeth
- Fluoride gel
- Sealants
- Desensitizing pastes (not used with a toothbrush) you can get from your dentist
- Mouthguard to protect teeth if you grind
And if your case is serious, your dentist might suggest a root canal.
Importance of dental care

Finally, it’s also important not to run away from dental care because of tooth pain. This is because ignoring your teeth can make things worse. So, brush and floss twice a day to help keep your smile bright and pain-free. Also, make an appointment with your dentist for a checkup twice a year.
https://www.webmd.com/oral-health/receding_gums_causes-treatments
Photo Credit: Creative Commons
